√1000以上 9/25 ct scan covid 128809-9/25 ct scan covid
Correlation Between Ct Findings And Outcomes In 46 Patients With Coronavirus Disease 19 Scientific Reports
In the study performed by Dinga et al , in the early stage of symptomatic COVID19 (0–4 days), 212% of the CT scans showed no abnormalities In case of CT abnormalities, peripheral GGO was the most important imaging manifestation (765%), indicating the disease may mainly invade the terminal respiratory bronchi or alveoli at first Globally, medical guidelines determine that a CT value below the number 35 means a person is COVID positive A CT value of 35 and above qualifies as a negative report The ICMR states that the globally accepted cutoff for CT value for Covid19 ranges from 3540 depending upon the instructions laid down by individual manufacturers
9/25 ct scan covid
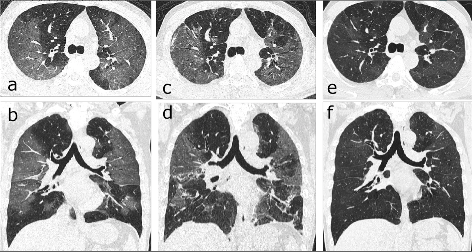
9/25 ct scan covid- In the early stage of the disease (Stage1), CT scans showed in 34 % lesions that involved a single lung lobe and in 212 % no lung involvement (Table 2) The most frequent CT findings of COVID19 pneumonia were GGO, crazypaving pattern, consolidation and linear opacities (Figs 1, 2) The predominant patterns of abnormality changed over timeGlobally, the accepted cutoff for Ct value for Covid19 ranges between 35 and 40, depending on instructions from the respective manufacturers of testing equipment The ICMR has arrived at the Ct value of 35 based on laboratory experiences and inputs taken from several virology labs
Chest Ct Severity Score An Imaging Tool For Assessing Severe Covid 19 Radiology Cardiothoracic Imaging
Notably — the method was initially suggested by M Chung et al (Radiology ) describing the CT findings of COVID19 and most popularly used by F Pan et al (Radiology ) on a study of the Lab testing for COVID19 (also known as the novel coronavirus or SARSCoV2) has increased greatly since the virus spread across the globe in spring Current evidence suggests that chest CT scans and xrays are generally NOT specific enough to either diagnose or rule out COVID19 on their own But imaging does have a limited role to play when used with lab tests, a Global data reveals that CT Chest for COVID19 has high sensitivity (>90%), high Negative Predictive Value (9596%),& good positive predictive value (65 %) CT shows abnormalities in 4050% of
Mean age 632 ± 158, range 27–90 years) with a positive RTPCR test for SARSCoV2 Apart from CORADS, HRCT scans also seldom mention CT severity score, which tells us about the actual lung involvement due to the infectionObjectives To correlate a CTbased semiquantitative score of pulmonary involvement in COVID19 pneumonia with clinical staging of disease and laboratory findings We also aimed to investigate whether CT findings may be predictive of patients' outcome Methods From March 6 to , 130 symptomatic SARSCoV2 patients were enrolled for this singlecenter analysis and
9/25 ct scan covidのギャラリー
各画像をクリックすると、ダウンロードまたは拡大表示できます
![]() | ![]() | ![]() |
![]() | ![]() | |
![]() | ![]() | ![]() |
「9/25 ct scan covid」の画像ギャラリー、詳細は各画像をクリックしてください。
![]() | ![]() | |
![]() | ![]() | ![]() |
![]() | ![]() | |
「9/25 ct scan covid」の画像ギャラリー、詳細は各画像をクリックしてください。
![]() | ![]() | |
![]() | ![]() | ![]() |
![]() | ![]() | ![]() |
「9/25 ct scan covid」の画像ギャラリー、詳細は各画像をクリックしてください。
![]() | ![]() | |
![]() | ![]() | ![]() |
![]() | ![]() | ![]() |
「9/25 ct scan covid」の画像ギャラリー、詳細は各画像をクリックしてください。
![]() | ![]() | |
![]() | ||
![]() | ![]() | |
「9/25 ct scan covid」の画像ギャラリー、詳細は各画像をクリックしてください。
![]() | ![]() | ![]() |
![]() | ![]() | ![]() |
![]() | ![]() | ![]() |
「9/25 ct scan covid」の画像ギャラリー、詳細は各画像をクリックしてください。
![]() | ![]() | ![]() |
![]() | ![]() | |
![]() | ![]() | |
「9/25 ct scan covid」の画像ギャラリー、詳細は各画像をクリックしてください。
![]() | ![]() | |
![]() | ![]() | ![]() |
![]() | ![]() | ![]() |
「9/25 ct scan covid」の画像ギャラリー、詳細は各画像をクリックしてください。
![]() | ![]() | ![]() |
![]() | ![]() | ![]() |
![]() | ![]() | ![]() |
「9/25 ct scan covid」の画像ギャラリー、詳細は各画像をクリックしてください。
![]() | ![]() | ![]() |
![]() | ![]() | |
![]() | ||
「9/25 ct scan covid」の画像ギャラリー、詳細は各画像をクリックしてください。
![]() | ![]() | |
![]() | ![]() | |
![]() | ![]() | |
「9/25 ct scan covid」の画像ギャラリー、詳細は各画像をクリックしてください。
![]() |
A 76yearold male patient with diabetes deceased due to COVID19 Chest CT scan ((a) coronal view, (b) axial viewlung window, and (c) axial viewmediastinal window) showed predominancy of groundglass opacity (GGO) with the bilateral and diffuse distribution Pulmonary involvement (PI) and PI density scores were 16 and 32, respectively According to some doctors, a Ct value of or below indicates high viral load in the patient's body, in addition, Ct values enable doctors to
Incoming Term: 9/25 ct scan covid, ct scan for covid 9/25 means,















































































コメント
コメントを投稿